近日,由科睿驰医疗自主开发的显影栓塞微球用于肝癌患者治疗的首期临床试验在丽水市中心医院开展,纪建松教授带领肿瘤中心涂建飞教授共同完成了该试验患者入组,试验结果初步证明了该产品的安全有效性和优异显影性能。
前言
在肿瘤介入治疗中,经动脉化疗栓塞术(TACE)是最主要也是最广泛的介入治疗手段,其原理是通过导管将栓塞剂注入靶器官的供血血管,阻断血流通道,阻隔血氧供应,从而实现治疗效果。通常来讲,当普通材料的栓塞微球被注射至血管后,只能通过血管造影来评估栓塞效果,难以对具体的栓塞效果和栓塞部位进行精准定位,具有显影功能的栓塞微球越来越受到临床医生的关注和重视。[1]
目前,仅有一款显影微球在国外投入商用,但其并未在中国上市,国内已上市的栓塞微球产品均不具有显影功能。科睿驰医疗开发的显影栓塞微球是一款拥有完全自主知识产权的国产医疗器械,在“栓塞微球”的基础上增加了“显影”特性,赋予其X射线下可视功能,丽水市中心医院纪建松教授带领肿瘤中心涂建飞教授共同完成了该显影微球首期临床试验入组,试验结果初步证明了该产品的安全有效性和优越的显影性能。

手术场景

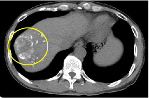
随访图像

术后1个月CT平扫影像可以在肿瘤部位看到白色光亮微球沉积影,表明显影栓塞微球具有良好的持续显影能力,可作为标记物引导后续的治疗如消融治疗、粒子植入、穿刺活检等。
后记
普通材料的栓塞微球被注射至血管后,在体内无法跟踪和定位,因而无法准确判断微球在血管中的分布情况和栓塞部位,仅能凭借与外源性造影剂的混合来辅助微球可视化。但外源性造影剂很快就会随着血流弥散,从注射部位迅速清除,术后无法确认栓塞微球的确切位置,从而影响疗效评价。
显影微球赋予栓塞微球自身显影功能,在血管和组织中具有可视性,操作者可以实时监控微球输注,精准操控,将大大提高手术操作过程的精准性,有效避免异位栓塞的发生,从而提高栓塞治疗的疗效、减少异位栓塞造成的并发症。同时在术后的随访中可辨认栓塞微球的位置,有利于评估栓塞区域,指导后续治疗。
在2023年新版《中国肝细胞癌经动脉化疗栓塞(TACE)治疗临床实践指南》[1]中特别提到了以显影微球为代表的新型栓塞剂,显影栓塞微球的使用越来越被临床医生所认可和期待[2]。
参考文献:
[1] 中国肝细胞癌经动脉化疗栓塞(TACE)治疗临床实践指南》(2023年版);中国医师协会介入医师分会临床诊疗指南专委会; 通信作者:滕皋军,东南大学附属中大医院介入与血管外科
[2] 可视化栓塞微球的制备及研究进展.何逸玮,邵国良.介入放射学杂志,2021,30(9): 861-865.
术者团队介绍:

纪建松 教授
教授/正高二级岗,温州医科大学附属五院(丽水市中心医院)党委书记,博士生导师,介入医学工程与生物技术浙江省工程研究中心主任,浙江省影像诊断与介入微创研究重点实验室主任,浙中区域肿瘤专病中心主任,国家重点研发计划首席科学家,国家级高层次人才入选者
学术兼职:
中国医师协会介入医师分会介入医学工程与生物技术专委会主任委员
浙江省医师协会介入医师分会会长
浙江省抗癌协会肿瘤早筛早诊早治专委会主任委员
中国抗癌协会肿瘤介入学专业委员会常委
浙江省抗癌协会肿瘤精准诊疗委员会副主任委员
浙江省抗癌协会肿瘤影像专业委员会副主任委员
浙江省抗癌协会放射粒子治疗专业委员会副主任委员
浙江省医学会介入医学分会副主任委员
AJPS杂志(IF 10.2,中科院一区)、《中华医学杂志》、《中华放射学杂志》《介入放射学杂志》等杂志编委,《Journal of Hepatology》等杂志审稿专家。国家重点研发计划政府间/港澳台重点专项项目评审专家、国家自然基金评审专家。
高层次人才培养计划及荣誉:
入选国家百千万人才工程、浙江省万人计划科技创新领军人才、浙江省 151 人才工程重点资助培养人员等高层次人才培养计划,享受“国务院特殊津贴”,并荣获“全国先进工作者、”“国家有突出贡献中青年专家”、“浙江省卫生创新人才”等荣誉

涂建飞 教授
医学硕士,主任医师,教授,硕士研究生导师,丽水市中心医院介入诊疗中心主任,肿瘤及介入片组组长。
中国医师协会血管腔内委员会肿瘤血管专委会委员,中国抗癌协会肿瘤介入专业委员会委员,中华放射学分会介入学组肝脏疾病介入专业委员会委员,浙江省放射学分会介入学组副组长,丽水市抗癌协会副理事长,丽水市肿瘤防治办公室副主任。美国南加州大学附属keck医院,日本IGT介入诊所,加拿大麦吉尔大学附属医院作访问学者。
2021年入选浙江省卫生高层次创新人才,丽水市特级绿谷名医,2018年丽水市首届医师节“初心奖”,2016年入选浙江省151人才第二层次;2015年入选浙江省第二批医坛新秀;2014年入选丽水市138人才第一层次 。
近5年以第一作者身份在SCI发表论文20篇;中华系列杂志5篇;以第一完成人身份在获得浙江省科技进步奖三等奖、浙江省医药卫生科技奖、丽水市科技进步奖一、二、三等奖多项。
邮编:518122
地址:深圳市坪山区坑梓街道金辉路14号
深圳市生物医药创新产业园区1号楼404号房
电话:
微信公众号
微信视频号



