近日,苏州大学附属第二医院靳勇教授团队成功应用科睿驰公司生产的“睿渊” DiaSphere®载药微球,完成国内首批、江苏省首例上市后临床应用。作为中国自主研发、 拥有完全知识产权的新一代“仿生核壳”栓塞微球产品——“睿渊”DiaSphere®载药微球, 具有“粒径精准”、“载药快”、“缓释稳定”等特点,解决了临床应用对于微球物理性能、 载药释药性能上的诸多需求,基本满足理想栓塞微球要求。

【病例回顾】
患者信息(女性,60 岁)
Ø 主诉
发现肝肿物 1 周余
Ø 现病史
患者 2023-03-27 因“乙肝肝硬化 14 年,乏力一周”至当地医院就诊,入院完善相关 实验室检查,查血提示 AFP 较高,普美显核磁共振提示异常结节,考虑 HGDN 或 EHCC, 结合患者肝硬化病史,考虑患者癌前病变或早期小肝癌可能性大,予以对症保肝治疗后好转, 现患者为求进一步介入治疗,来院就诊,门诊拟以“肝恶性肿瘤”收入我科,病程中,患者 一般情况良好,无特殊不适主诉,近期体重未检测。
Ø 既往史
患者既往脾切除史 8 年余,否认“高血压、糖尿病、心脏病”等慢性病史,否认“肝 炎、结核”等传染病史,否认其他药物、食物过敏史,预防接种史不详。
Ø 术前实验室检查
血常规:白细胞计数 4.1×109/L,红细胞计数 3.3×1012/L,血红蛋白 126 g/L, 血小板计数 140×109/L ;
血生化:总蛋白 65.8 g/L,白蛋白 31.3 g/L,球蛋白 34.5 g/L,总胆红素 39.9
μmol/L,碱性磷酸酶 139 U/L,天门冬氨酸氨基转移酶 105 U/L,丙氨酸氨基转
移酶 52 U/L,肌酐 62 μmol/L,尿素 7.7 mmol/L; 肿瘤标志物:甲胎蛋白 3.96 ng/mL,异常凝血酶原 167.84mAU/mL。
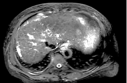
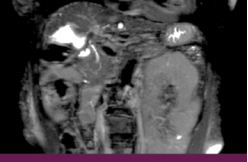
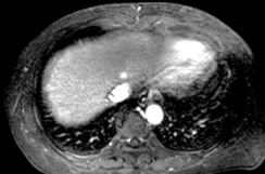
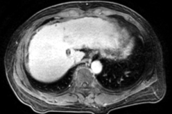
Ø 术前影像学检查
肝 S2 段及肝 S4 段见类圆形 T1WI 低、T2WI-SPAIR/DWI/ADC 高信号,较大者长径
约 10mm,界清。

T2 SPIR 横轴位

T2 SPIR 冠状位

动脉期

静脉期
Ø 术前诊断
l 肝细胞癌(CNLC Ib 期)
l Child-Pugh B 级
l ECOG 2 分
【手术方案】
DEB-TACE(科睿驰 DiaSphere®载药微球加载 50mg 表柔比星)
【手术过程】
患者仰卧,右侧腹股沟区消毒铺巾,穿刺右股动脉,置入5.0Fr 导管鞘,经鞘进入 RH 导 管,在主动脉弓处成形,选择性进入腹腔干,行血管造影,肝右叶无明显肿瘤染色,肝左动 脉由胃左动脉发出,采用科睿驰医疗提供“智鹏”2.0Fr 微导管选择进入肝左动脉造影,行CBCT 扫描可见肝左内叶肿瘤强化病灶,大小约 1cm,肝左外叶病灶与胃左动脉分支共干,无法避开进一步超选择,超选择进入肝左内叶,造影明确到达把血管,选用 100-300μm“睿 渊”DiaSphere®载药微球加载 50mg 表柔比星,载药完毕后,予注入 2ml 载药微球,再 次行 CBCT 扫描,原肝左内叶病灶无强化,术中患者生命体征平稳,撤出导管,压迫止血、 包扎,患者安返病房。

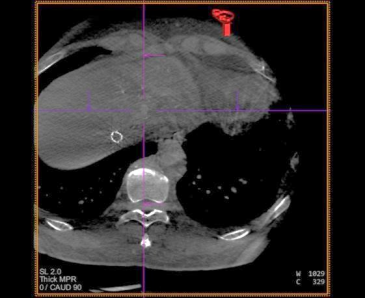
术中 CBCT 可见肝左内叶肿瘤强化病灶
CBCT 扫描血管重建可见,血管迂曲及靶病灶大小和位置

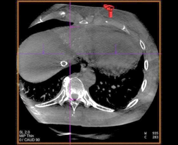
栓塞结束后 CBCT 扫描,原肝左内叶病灶无强化
【术者点评】
肿瘤治疗已经进入多学科联合协作的模式(MDT),以经导管动脉栓塞术(TACE)为 核心的 MDT 是肿瘤治疗、尤其针对肝癌治疗的主流共识。对于不可手术切除的中晚期肝癌, TACE 的“基石”地位更是无法撼动。
DEB-TACE 采用的是一种能够吸附、携带化疗药物的栓塞材料——载药微球进行精细 化的栓塞治疗,一方面能够栓塞肿瘤供血动脉,另一方面也能够实现精准的局部给药,并让 化疗药物保留更高浓度、更长时间,持久且持续地缓释作用于肿瘤。国内外不少研究报道, 在肿瘤客观有效率和安全性方面,DEB-TACE 相较于 c-TACE 具有一定的优势。
此次术中 DiaSphere®加载的药物是表柔比星,比较直观的感受就是载药速率非常快, 5min 可达 95%以上,明显缩短术中载药时间,节约手术时间,提升了医生的效率。据悉, 该款微球产品亦可加载其他蒽环类化疗药(如:吡柔比星和多柔比星)和伊立替康,可应用 于原发性肝癌和转移性肝癌。其次,DiaSphere®悬浮均匀,术中非常容易地通过科睿驰公 司配套 2.0Fr 微导管“智鹏”的推注,推注阻力并不大,术后复查 DiaSphere®在靶病灶内 部均匀沉积,栓塞效果良好(科睿驰为满足临床精细 TACE 的需求,同时尽可能降低参与研究受试患者的费用支出,免费提供从植入产品Diasphere®载药微球到支援类工具产品“智蛟”微导管和“智贯”微导丝供术中使用)。
DiaSphere®载药微球拥有 75-150μm、100-300μm、300-500μm 等粒径规格,为临 床精细 TACE 提供了更多的治疗选择。相信随着 DiaSphere®上市后的临床推广应用,其在 肿瘤介入精细治疗方面,尤其是原发性肝癌和转移性肝癌的治疗中会发挥着越来越重要的作 用,为更多的肿瘤患者带来获益。
【科室介绍】
苏州大学附属第二医院介入医学科,是苏州大学介入诊疗学硕士学位点,具有雄厚的科 研、教学和日常诊疗能力。科室现有床位 22 张,其中单人间 1 间,双人间 3 间,三人间 5间,每年收治患者约 1300 人次。科室现有专职医师 8 人,其中有享受国务院政府特殊津贴专家 1 名,主任医师 2 名,博士 4 名(含在读博士 3 名),所有医师均取得国内重点医学院校硕士以上学位;每年独立完成各种介入诊疗手术 3000 余台次。 近五年来已有肿瘤局部射频/微波消融治疗、肝硬化上消化道大出血的 TIPSS 治疗、静脉输液港植入、全麻下气管支架置入术、肠梗阻导管置入术、子宫肌瘤/肌腺症的介入治疗、 淋巴瘘的造影及栓塞等多项技术填补苏州地区空白,部分技术已经达到国内先进水平。苏州 大学附属第二医院介入科是在同行及患者中,有较高知名度和美誉度的特色专科,每年吸引 大量来自北京、上海及全国各地的疑难杂症病友前来就医。科室独立或与其它科室及院外合 作,开展了多项基础临床研究项目,中标国家自然科学基金、江苏省社会发展基金各一项。 全科同志有多年三级甲等医院工作经验,科室管理严谨、规范;工作人员以患者为中心,开 展多项爱心服务,急病人所急,想病人所想,未雨绸缪;想在病人前面,做到病人心里,多 年来得到了住院患者的一致称颂。
为了更好的服务于全国各地的患者,我科室充分利用互联网技术,在微信、网站及在线诊疗方面发挥较大的社会效应,在寒山闻钟等公共论坛上很多的患者对我们的工作表示认可, 受到了全社会广泛的好评。
受到的表彰:
l 江苏省省卫生健康委 2020 年江苏省新技术引进一等奖
l 2019 年度医院新闻宣传工作中评为新闻宣传先进集体
l 2019 年度江苏省妇幼健康科研项目和引进新技术二等奖
l “针尖上的艺术”微波消融优秀病例分享赛 2019 赛季 北部赛区晋级赛二等奖、全国 总决赛三等奖
l 2019 年第四届医疗质量月系列活动之 PDCA 比赛中获鼓励奖
l 2019 年度护理质量持续改进项目优秀奖
l 2019 年江苏省抗癌协会“输液港病例比赛”——一等奖
l 2019 年规培期护士操作比赛单人 CPR——三等奖
l 2018 年输液港大赛苏南地区第二名
l 院级改革开放 40 周年暨建院 30 周年护理静疗知识竞赛优胜奖
l 2018 年度护理个案竞赛三等奖
l 2018 年输液港大赛全国第四名
【专家简介】

靳 勇
苏州大学附属第二医院介入治疗科主任,享受国务院政府特殊津贴专家,主任医师,副教授,博士生导师
现任中国医师协会介入医师分会全国委员
中国抗癌协会肿瘤消融治疗委员会常委
中国抗癌协会肿瘤介入治疗委员会委员
中国抗癌协会肺癌微创综合治疗委员会副主任委员
科技部创新产业联盟肺癌消融委员会候任主任委员
江苏省介入医学会委员兼妇幼介入学组组长
江苏省抗癌协会肿瘤介入治疗委员会常委
江苏省妇幼学会妇产介入委员会副主任委员
苏州市介入医学会副主任委员
曾荣获2022年度江苏省百名医德之星、苏州市卫生系统优秀共产党员、中核宝原优秀共产党员、苏州市医德医风标兵、苏大附二院“十佳”医生、苏州大学优秀共产党员等称号。
邮编:518122
地址:深圳市坪山区坑梓街道金辉路14号
深圳市生物医药创新产业园区1号楼404号房
电话:
微信公众号
微信视频号



